
Smile Gallery
Real Results. Real Confidence.
Explore Our Smile Transformations
From functional improvements to stunning aesthetic makeovers, our Smile Gallery showcases the life-changing dental journeys of our patients. Whether it's relief from TMJ discomfort or the dazzling results of a same-day crown, each transformation tells a story of care, collaboration, and clinical excellence. Discover what’s possible when innovation and empathy come together — your new smile could be just one visit away.


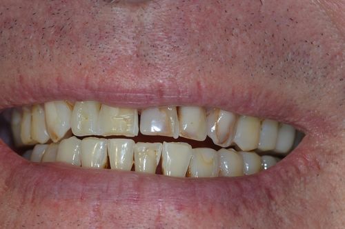
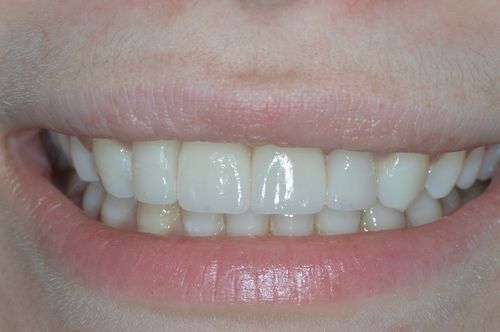
Upper Arch Reconstruction
Tom had experienced significant wear and discoloration. We performed an upper arch reconstruction with Invisalign and custom CEREC veneers and crowns to restore the function and esthetics of his smile.


Full Mouth Reconstruction
Severe decay and missing teeth were making life difficult for Todd. His full mouth reconstruction included extraction of hopeless teeth with bone grafts, implants, and CEREC crowns- bringing both comfort and confidence back to his everyday life while improving overall oral health.


Veneers
Dale came to us with fillings that had broken down over time and needed to be replaced, as well as signs of wear on his teeth from clenching, especially during workouts. Using a combination of upper arch veneers and NeuroGuard+ protection, we created a stronger, more beautiful smile for him.


Full Mouth Reconstruction
Curtis hadn't seen a dentist in over 20 years, which resulted in multiple dental concerns affecting his health and ability to eat. With a full-mouth reconstruction that included periodontal therapy, extractions and bone grafts, implants, and CEREC crowns, we helped Curtis rediscover the comfort of a healthy, functional smile.


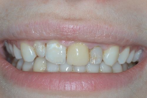
Invisalign and CEREC Crowns
Charity experienced tooth sensitivity and crowding in her upper front teeth, leading to wear and discomfort. We used Invisalign to align her teeth and completed her transformation with upper arch CEREC crowns to restore form and function.


Upper Arch CEREC Crowns
Cassandra struggled with decay and discoloration in her upper teeth. With CEREC crowns and periodontal care, we were able to improve her oral health while brightening her smile and giving her the confidence she deserves.


Cosmetic Upper Arch Reconstruction
Bill wasn't happy with the poor esthetics of his existing crowns and restorations. A cosmetic upper arch reconstruction was performed, replacing previous dental work with high-quality CEREC restorations for a more natural and cohesive appearance.


Upper Arch Reconstruction
Barb came to us with a combination of broken, missing, and mismatched teeth. Through comprehensive periodontal therapy, root canals, implants, and CEREC crowns, we restored the functionality and esthetics of her upper arch and her radiant smile.


Upper Arch Reconstruction
Decay and chipping were affecting Colton's upper teeth. After personalized periodontal treatment and root canals to preserve natural teeth, we rebuilt his smile with precision CEREC crowns to provide a stable, long-lasting restorative solution.

.webp)